審美歯科
「歯と歯茎の間が、黒く見えてしまっているのが気になる」
「色が不自然で、すぐに差し歯とわかってしまうのを治したい」
患者さまから、このようなご相談をお受けすることがあります。
特に、前歯の治療をご希望される方にとって、一番気になるのはやはり「見た目」の部分ですよね。
保険治療でも白い歯を入れることは可能なのですが、使える材料に限りがあるため、形、色合い、周りの歯との調和を含め、天然の歯のような透明感のある仕上がりにすることはなかなか難しいのが現状。
そんな中、最近ではセラミックによる治療をご希望される方が増えてきております。
当院では、ただ歯をキレイにするだけではなく、より永く、より快適な口腔内環境を維持するために、細部までこだわった治療を提供しております。
見た目だけでなく、身体に優しいセラミックス「メタルフリー治療」
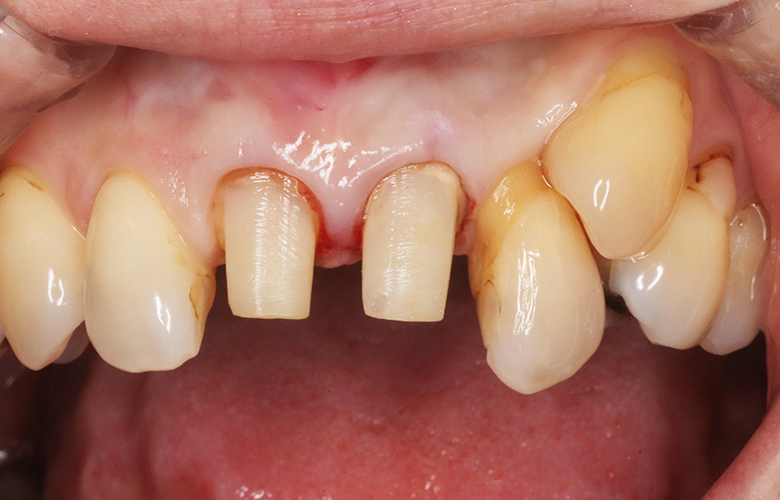
治療前 |
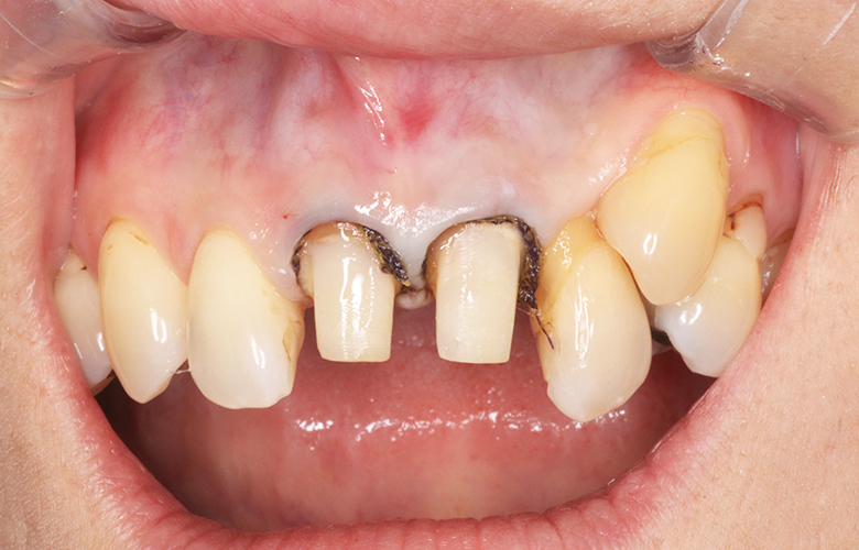
治療後 |
皆さん、ご自身のお口の中をじっくりご覧になったことはありますか?
成人の方のほとんどはお口の中のどこかしらに金属の詰め物やかぶせ物が入っていると思います。
実際、いつごろ、どんな物がご自身の歯に入ったのか、おわかりの方はどの位いらっしゃるのでしょう?
また歯の詰め物をご自身で選択された方はいらっしゃいますか?
歯は、毎日食べ物を噛み体内に取り入れる作業にとても重要な役割をするのに、体の中で後回しにされがちです・・・。
皆さんのお口の中にあると思われる「銀色の歯」これは現在一般的に用いられるパラジウム合金というものがほとんどです。
この金属は銀歯、銀歯と皆さん呼ばれますが、色は銀色なものの中身は金、銀、銅、パラジウムなどといった様々な金属の混ざったものなのです。
最近は「金属アレルギー」という言葉もクローズアップされてきました。
そこで今回、全く金属を使用しないセラミックの詰め物にチェンジし、健康的で体に優しい「メタルフリー」のお口の中を目指す治療法をご紹介します。
セラミックスは毎日使うお皿と同じ陶材で出来ています。お口に入れた時にご自身の歯と綺麗に調和する「審美性」と体に優しい「安全」といった機能性も兼ね備えた材料です。
身に着けるアクセサリーの金属を気にされるように、より体内に近い歯の詰め物にも関心を持ってみていただければと思います。
当院の審美歯科治療
自費治療というと、つめ物やかぶせ物の材料の違いと思われている方も多いのではないでしょうか?
もちろん材料の違いもあるのですが、当院の場合、より精度を高めるために、自費治療では、型取りの際の工程や使う材料に関しても保険とは別のものを使用します。
歯肉圧排
歯肉圧排とは、歯と歯茎の間に細い糸を挿入し、一時的に歯と歯肉をわずかに離してから型取りを行うテクニックを言います。
セラミックなどのかぶせ物を作成する場合、歯と被せ物の継ぎ目は歯肉の中に入り込んでいることもありますので、そのまま型どりしても歯肉の中まで型どり材が入って行かず、歯の形が正確に取れないため、ぴったりと合ったかぶせ物を作ることが出来ません。
そこで歯肉圧排を行い継ぎ目部分をはっきりとさせることで、歯の辺縁部までぴったりと合う型どりを行うことが出来るのです。
材料や時間に制限のない自費治療だからこそ、こだわることができる工程です。
![]() |
![]() |
![]() |
シリコン印象
通常の保険治療では、寒天やアルジネートという比較的安価な印象材を使いますが、自費治療の場合、高価ですがより精度の高いシリコンを使って型どりを行います。
印象材の精度とは、いわゆる「歪み」がどれくらいあるかを数値で表したものですが、その数値で比較すると
シリコン:0.3% 寒天:1.5% アルジネート:2.8%
と、圧倒的にシリコンの方が精度が高い事がわかるかと思います。
歪みが少ないという事は、当然、よりぴったりと合うかぶせ物を作ることが出来るという事。たった数パーセントと思われるかもしれませんが、ミクロン単位の細菌を相手にしている歯科治療において精密さはとても重要なポイントです。
超硬質石膏を使用した模型作成
精度の高い被せ物や詰め物を作成するためには、精度の高い模型の作製が必要不可欠です。
歯の模型を作成するにあたって、型取りした材料に石膏を流し歯の模型を作りますが、この石膏には主に下記の3種類があります。
| 種類 | 内容 | 硬化膨張率 |
|---|---|---|
| 普通石膏 | 結晶粒子が不規則な形態をしている。 |
0.20~0.25% |
| 硬質石膏 | 結晶粒子が普通石膏とは異なり、規則的で緻密な形態をしている。 |
0.20~0.25% |
| 超硬質石膏 | 結晶粒子が硬質石こうよりさらに緻密で滑らかである。 |
0.08% |
石膏の精度の目安は「硬化膨張率」が参考になります。
硬化膨張とは、石膏が硬化する際に膨張することを言い、硬化膨張率はその膨張の割合を指します。
つまり、膨張率が高ければ高いほど、変形が生じやすい材料といえます。
当院では、審美歯科治療においては、現在使用されている歯科材料の中でも最も硬化膨張率の低い「超硬質石膏」を使用した模型作成を行っております。
患者さまからは見えにくい部分ですが、一つ一つの工程にこだわりながら精度の高い治療を心がけております。
マイクロスコープを用いた精密審美治療
当院では、マイクロスコープを用いた精密審美治療を実践しています。
歯と修復物(つめもの)・補綴物(被せ物)の間に隙間や段差があると、その隙間から細菌が入り込み、つめものや被せ物の下で再度むし歯が繁殖してしまう「2次カリエス」を発症させてしまいます。
また、被せ物の場合、歯と歯茎の間に隙間が生じているとその部分に汚れや細菌がたまりやすくなり、歯周病を引き起こしてしまったりもします。
こういったリスクを少なくするには、隙間や段差のないよう、精度の高い修復物・補綴物を入れる必要があります。
当院では、修復物・補綴物を入れる際には拡大鏡(必要に応じてマイクロスコープ)を使用し、そのような段差や隙間がないかチェックを行っております。
これにより、より高いレベルでむし歯や歯周病の再発を予防し、歯を守ることが可能になります。
当院で取り扱っている審美歯科メニュー
グラディアダイレクト
グラディアダイレクトとは、プラスチック(レジン)とセラミックを混ぜ合わせた素材をむし歯などを取り除いた後の歯に詰め、光で硬化させることで天然歯のような色調・透明性を再現する治療法のことを言います。
むし歯治療の方法としては、「インレー」という、歯を削って型を取り、詰め物を作成するやり方が一般的ですが、この方法の場合、型を採るために歯を余分に削る必要があるということ、また、少なくとも2回以上の通院が必要となり、治療に時間がかかるというデメリットがありました。
ですがグラディアダイレクトの場合詰め物を直接詰める方法のため、歯を削る量も最小限に、最短1回の治療で終了することもできます。
また、ダイレクトボンディングに似た方法として「CR充填」というものもあります。
CR充填法の場合、単純にむし歯によってできた穴や隙間をプラスチックで塞ぐだけですが、ダイレクトボンディングは何層もに重ねながらレジンを盛っていくため、審美的にも美しく、耐久性に優れた治療が可能です。
![]() |
![]() |
ジルコニア
ジルコニアとは、人工のダイヤモンドとも呼ばれるほど非常に硬い素材で、また生体親和性が高く体にもよくなじみやすいことから、医療分野においても人工関節などによく使用されている素材です。
非常に硬いながらも透明感があるため審美性に優れ、天然の歯とほとんど見分けがつきません。
プラークが付きにくく、二次むし歯になりにくいというメリットもあります。
特に、普段から歯ぎしりや食いしばりのある人の場合、セラミックが割れたりかけてしまったりすることがあるのですが、ジルコニアの場合はそのような心配が少なくなります。
デメリットとしては、非常に硬い素材のため、咬み合う歯にダメージを与えてしまう場合があります。
e-max(イーマックス)
e-maxとは、ジルコニアと並んで注目されている人気の高い素材で、非常に高い透明感と美しい色調を再現できる素材です。
ジルコニアよりも強度は劣りますが、歯に近い硬さのため、かみ合う歯を傷つけず、歯ぎしりや食いしばりの癖のない方であれば割れにくい素材です。
プラークが付きにくく、二次むし歯になりにくいというメリットもあります。
デメリットとしては、複雑な色付けに対応できないこと、強度を保つために厚みを持たせるため、歯を削る量が若干多くなることが挙げられます。
メタルボンド
メタルボンドとは、金属のフレームにセラミックを焼き付けたものになります。
表面をセラミックで覆っているため、美しい色調を再現することは出来ますが、フレームが金属でできているため透明感という面では劣ってしまいます。
ただし、フレームを金属で作製しているため、強度が高いことから、奥歯の治療には向いている治療法と言えるでしょう。 奥歯のかぶせ物やブリッジの治療に用いられることが多くあります。
ハイブリッドセラミック
ハイブリットセラミックとは、セラミックとレジン(プラスチック)の成分を混ぜ合わせた素材です。
セラミックの硬さとプラスチックの粘りを兼ね備えた素材であるため、対向歯にダメージを与えにくいというメリットがありますが、プラスチック成分が多くを占めるため経年により色が変化してしまいます。
とはいえ、保険で使用される材料よりは変化のスピードを抑えることが出来るため、比較的利用しやすい材料といえるでしょう。
※当院のものは、内側が金属になっております。
ゴールド
いわゆる「金歯」と呼ばれるものになります。
見た目が金色ですので審美性には劣ってしまいますが、機能的な面からみると、セラミックなどの材料よりもゴールドの方が優れていると言えます。
ゴールドの最も大きな特徴として挙げられるのは、「歯との適合が非常に良い」という事。歯にピッタリとはまるので、歯との隙間からむし歯が発生し、2次カリエスとなってしまうリスクを減らすことができるます。
金属ではありますが、ゴールドはイオンとなって流れ出にくいので、歯や体に取り込まれて蓄積することもなく、アレルギー性がほとんどない素材です。
審美性という面から前歯には使いにくいですが、奥歯などにはおすすめの素材です。
ラミネートべニア
ラミネートベニアとは、セラミックの薄いチップを歯に貼ることで、歯の形や色を美しく改善する治療法です。
歯の表面を薄く削るだけですので、歯を削る量が少なくてすみますし、神経をとったりする必要もありません。
ホワイトニングでは思うような白さが得られない場合や、歯と歯の間の隙間が気になる、といった場合におすすめの治療法です。
ただし、ラミネートべニアは耐久性が低いため、強く噛み合ったり衝撃を受けたりすると割れることもあります。

治療前
治療後




