むし歯治療
昔のむし歯治療は、むし歯になってしまった部分が再発しないように、大きめに削っておき、金属やプラスチック製の詰め物や被せ物で治すという方法が一般的でした。
むし歯菌を少しでも残してしまうと、詰め物や被せ物の裏側で増殖してしまうので仕方のないことだったのかもしれません。
そして、削る部分がなくなれば、抜歯しなければなりませんでした。
ですが近年では、歯科医療技術材料の進歩により、以前よりむし歯を削る量が少なくても再発を防ぐことができるようになりました。それが、MI(ミニマルインターベンション)という考え方です。
高齢になっても自分の歯で生活するためには、できるだけ削らないことが大切です。
当院でも、MIという考え方に基づいてなるべく削らない治療を前提として治療を行っております。
削る部分を最小限に
マイクロスコープや拡大鏡を使用した精密治療
当院ではより精密な医療を提供するため、保険・自費問わず、治療の際には拡大鏡を必ず、必要に応じてマイクロスコープを使用しております。
裸眼では見えにくいような細かな部分も最大22倍の拡大視野でしっかりと確認しながら処置を行うことで、削りすぎを防ぐことはもちろん、削り残しも防ぎ、むし歯が再発してしまうリスクを低く抑えるよう心がけております。
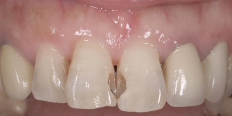
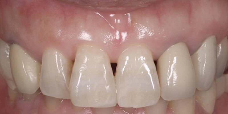
グラディアダイレクト(ダイレクトボンディング)
グラディアダイレクトとは、プラスチック(レジン)とセラミックを混ぜ合わせた素材をむし歯などを取り除いた後の歯に詰め、光で硬化させる治療法のことを言います。
むし歯治療の方法としては、「インレー」という、歯を削って型を取り、詰め物を作成するやり方が一般的ですが、この方法の場合、型を採るために歯を余分に削る必要があるということ、また、少なくとも2回以上の通院が必要となり、治療に時間がかかるというデメリットがありました。
ですがグラディアダイレクトの場合詰め物を直接詰める方式のため、歯を削る量も最小限に、最短1回の治療で終了することもできます。
また、グラディアダイレクトに似た方法として「CR充填」というものもあります。
CR充填法の場合、単純にむし歯によってできた穴や隙間をプラスチックで塞ぐだけですが、グラディアダイレクトは何層もに重ねながらレジンを盛っていくため、審美的にも美しく、耐久性に優れた治療が可能です。
当院では、グラディアダイレクトをマイクロスコープを使用して行うため、適合もよく仕上げることが出来ます。
![]() |
![]() |
う蝕検知液
う蝕検知液とは、むし歯になっている部分のみを染め出すことができる薬剤です。
むし歯治療を行う上で何よりも大切なことは、むし歯に感染した部分を取り残しなくしっかりと除去することですが、いくらキャリアのある歯科医師でも健全な歯とむし歯の部位を完璧に見分けることは不可能で、歯を残すことを意識しすぎるがあまりむし歯の除去が不十分だったり、逆に健康な歯までも削ってしまう事もあります。
そこで当院では、必要に応じてう蝕検知液を使用してむし歯部分を染め出し、しっかりと目で確認しながらむし歯の取り残しや歯の削りすぎを防ぐように努めています。
ダイアグノデント
ダイアグノデントは、歯に特殊なレーザーを照射することでむし歯の有無や進行度を測定することができる「むし歯検出装置」です。
従来の日本では、むし歯かどうかを測定するための検査として、先のとがった針のようなもの(「探針」と言います)を用いて判定を行ってきましたが、近年ではこの短針による検査は、むし歯の進行を促進したり、再石灰化を妨害してしまう危険性があるとして問題視されるようになりました。
ダイアグノデントを使用することで歯を傷つける事無く、また歯の再石灰化を邪魔することなく検診が可能になるほか、今まで見落としがちだった隠れたむし歯も発見できるため、より正確な診断が可能になります。
歯を削る必要のない初期のむし歯の場合にも、その進行・回復の度合いを数値で管理することができるため、リスクを考慮しながらの予防ケアを行うことができます。
再発を防ぐために
ラバーダム
ラバーダムとは、根管治療や修復の際に患部を覆うゴム製のシートのことです。
ラバーダムを使用するメリットとしては、下記のようなものが挙げられます。
感染リスクの減少
ラバーダムは、治療部位を口腔のほかの部分から隔離してくれます。
唾液や唾液中の細菌が治療部位に侵入するのを防ぎ、感染リスクを下げてくれるのです。
治療品質の向上
歯に詰め物を接着する場合に、接着力を弱めるような唾液の混入や吐息の湿気のコントロールが重要です。
ラバーダムで治療部位を隔離して防湿することで、より精密な治療が可能になります。
快適性の向上
ラバーダムを使用することで、治療中に口を大きく開ける必要がなくなるため、患者さまの疲労感が軽減されます。
また、水分がお口にたまることを防ぎます。
安全性の向上
ラバーダムは舌や唇を保護します。
また、細かな治療器具や薬液がのどに落ちることを防いでくれます。
視界の改善
治療部位が唾液や血液で妨げられなくなることも、ラバーダムのメリットです。
これにより、歯科医師はよりクリアな視界で治療を行うことが出来ます。
痛みを感じさせない工夫
表面麻酔
当院では、麻酔針を指す前に、まずは歯茎に表面麻酔の薬をぬり、針を刺すときの痛さを軽減させる工夫をしております。
表面麻酔はゼリー状の塗り薬、またはシール状ですので使用時には痛みはありません。
歯茎に薬を塗って2分ぐらいすると、歯茎がピリピリとした感じになり麻酔が効いてきますので、その状態で針を刺すと、ほとんど痛みを感じずに麻酔をすることが可能です。
極細針(33G)の使用
麻酔を打つ時の針は、細ければ細いほど、痛みを少なく抑えることができます。
歯科医療で使われている麻酔針は、一般的に「30ゲージ(0.25mm)」の針が使われておりますが、当院では、「33ゲージ(0.2mm)」の針を使用しています。
上記の表面麻酔と併用することで、麻酔針を刺す時もほとんど痛みを感じずに打つことができます。
カートリッジウォーマー
通常、麻酔液は体温よりも低い室温で保管されていますが、冷たいままの麻酔液をそのまま使用してしまうと、その温度の変化により痛みを感じてしまう場合があります。
当院では、麻酔液を使用する前に、カートリッジウォーマーと呼ばれる専用の機械を使って麻酔液を体温と同じぐらいの温度(約37度)に温めてから使用しています。
これにより、温度の変化による痛みの発生を抑えることが可能になります。
恐怖心を取り除くための工夫
一言で無痛治療といっても痛みをとるだけが無痛処置とはいえません。
いくら最新の無痛処置を施しても、恐怖心や緊張感が過度に高まっている状態では痛みに敏感になってしまい、少し触っただけでも痛いと感じてしまう患者さまもいらっしゃいます。
特に過去、歯科医院で大変な思いを経験されたことがる方は、トラウマになってしまって治療室に入っただけで緊張してしまうという方もいらっしゃいます。
また、そのような経験がなかったとしても「何をやられているのかわからない」「いつ削られるのかわからない」といった状態で、目隠しをされたままお口の中でタービンを回されては、だれだって緊張してしまいます。
当院では、そういった患者さまの不安や恐怖心を和らげ、なるべくリラックスして治療を受けていただけるよう治療内容の説明やカウンセリングに力を入れております。
治療内容や進め方について、不安な部分や分からないことがありましたら、なんでもお気軽にご質問ください。
歯医者嫌いの方、怖くて歯医者に行けない人を一人でもなくし、一人でも多くの方が歯に興味を持ってもらえるような医院を目指しております。



